Aft Yarası Belirtileri ve Tedavisi
Aft yaraları, ağız içinde oluşan küçük ve ağrılı lezyonlardır. Genellikle kendiliğinden iyileşseler de, yaşam kalitesini etkileyebilirler. Bu yazıda aft yaralarının belirtileri, nedenleri, tedavi yöntemleri ve önleyici tedbirler ele alınmaktadır. Ağız sağlığını korumak için bilgilendirici bir kaynak sunulmaktadır.
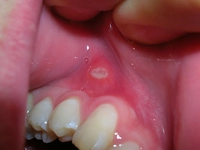
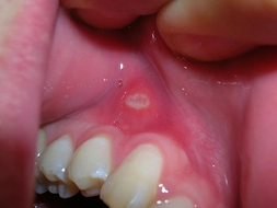
Aft yarası, ağız içinde meydana gelen küçük, yuvarlak, ağrılı lezyonlardır. Genellikle beyaz veya sarı bir zemin üzerinde kırmızı bir halka ile çevrilidir. Aft yaraları, bireylerin yaşam kalitesini olumsuz etkileyebilir ve çeşitli nedenlerle ortaya çıkabilir. Bu makalede, aft yaralarının belirtileri, nedenleri ve tedavi yöntemleri detaylı bir şekilde ele alınacaktır. Aft Yarasının BelirtileriAft yaralarının belirtileri genellikle aşağıdaki gibi sıralanabilir:
Bu belirtiler, aft yarasının ciddiyetine bağlı olarak değişiklik gösterebilir. Bazı bireylerde, aft yaraları sıkça tekrarlarken, diğerlerinde nadiren görülebilir. Aft Yarasının NedenleriAft yaralarının kesin nedeni henüz tam olarak anlaşılamamıştır; ancak bazı faktörlerin bu lezyonların oluşumuna katkıda bulunduğu düşünülmektedir:
Bu nedenlerden bir veya birkaçı, bireylerin aft yarası geliştirme olasılığını artırabilir. Aft Yarasının Tedavi YöntemleriAft yaralarının tedavisi, genellikle belirtileri hafifletmek ve iyileşme sürecini desteklemek amacıyla yapılır. Aşağıdaki yöntemler, aft yaralarının tedavisinde yaygın olarak kullanılmaktadır:
Bu tedavi yöntemleri genellikle etkili olmakla birlikte, aft yaralarının tekrarlayan bir sorun haline gelmesi durumunda bir sağlık profesyoneline başvurmak önemlidir. Önleyici TedbirlerAft yaralarının oluşumunu önlemek amacıyla alınabilecek bazı önlemler şunlardır:
Bu önlemler, aft yaralarının sıklığını azaltmaya yardımcı olabilir. SonuçAft yaraları, yaygın bir ağız sağlığı sorunu olmasına rağmen, genellikle zararsızdır ve kendi kendine iyileşir. Ancak, tekrarlayan veya şiddetli ağrıya neden olan aft yaraları durumunda bir sağlık profesyoneline başvurmak önemlidir. Yukarıda bahsedilen belirtiler, nedenler, tedavi yöntemleri ve önleyici tedbirler, bireylerin aft yaralarının yönetiminde yardımcı olabilir. Sağlıklı bir yaşam tarzı benimsemek, aft yaralarının oluşumunu azaltmak ve genel ağız sağlığını korumak için kritik bir rol oynamaktadır. |



















.webp)











Ameliyat sonrası boğazımın heryerinde aft çıktı ne yemek yiyebiliyorum ne de içebiliyorum. Doktora gittim Azetin 500mg antibiyotik verdi bir de gargara ama hala gerilemedi mecbur serum takviyesi alıyorum yemek yiyemediğim için. Yemek yiyebilmemin Bir yöntemi var mı ?
Aftlar ve boğaz ağrısı sonrası yemek yemek zor olabilir. İşte bu durumda yardımcı olabilecek bazı yöntemler:
1. Yumuşak ve püre halindeki gıdalar: Püre haline getirilmiş sebzeler, çorba, yoğurt gibi yumuşak ve hafif gıdaları tercih edin. Bu tür yiyecekler genellikle boğazı tahriş etmeden yutulabilir.
2. Soğuk ve sıcak yiyeceklerden kaçının: Özellikle sıcak ve baharatlı yiyecekler boğazı daha fazla tahriş edebilir. Bu nedenle, oda sıcaklığında veya hafif soğutulmuş yiyecekler tercih edin.
3. Bol sıvı tüketimi: Su, taze sıkılmış meyve suları ve ılık çorbalar içmeye çalışın. Bu, boğazınızı rahatlatabilir ve sıvı ihtiyacınızı karşılayabilir.
4. Yumuşak gıdaları çiğneyin: Yumuşak, püre halindeki yiyecekleri çiğnemek yerine doğrudan yutmaya çalışabilirsiniz, bu da boğazınıza daha az zarar verebilir.
5. Gargara ve ağız bakımını ihmal etmeyin: Doktorunuzun önerdiği gargara ve ağız bakım ürünlerini düzenli olarak kullanarak boğazınızdaki iltihaplanmayı azaltabilir ve iyileşme sürecini hızlandırabilirsiniz.
Eğer durumunuz daha da kötüleşirse veya bu yöntemler yeterince etkili olmazsa, doktorunuza tekrar danışmanız önemlidir.
Ağzımda sürekli aft çıkıyor, yemek yerken ve konuşurken çok zorluk yaşıyorum. Acaba bu durumun nedenleri neler olabilir? Diş macunum mu sorunlu ya da stres mi yapıyorum?Bir de aftların çıkmaması için neler yapabilirim?
Merhaba Türünk,
Aftlar, ağız içinde sıkça karşılaşılan sorunlardan biridir ve birçok farklı sebebi olabilir. Stres, bağışıklık sistemi zayıflıkları, vitamin eksiklikleri (özellikle B12, folik asit ve demir), hormonal değişiklikler ve bazı yiyecekler (örn. asitli ve baharatlı gıdalar) aft oluşumuna neden olabilir. Diş macununun içeriğindeki bazı maddeler de bu durumu tetikleyebilir.
Aftların çıkmaması için bazı önlemler alabilirsin. Öncelikle, SLS içermeyen (sodyum lauril sülfat) diş macunlarını tercih edebilirsin. Ayrıca, dengeli beslenmeye dikkat ederek vitamin ve mineral eksikliklerini gidermeye çalış. Stresten uzak durmak ve yeterince uyku almak da bağışıklık sistemini güçlü tutmana yardımcı olacaktır. Son olarak, asitli ve baharatlı yiyecekleri tüketirken dikkatli olabilirsin.
Eğer aftların çok sık ve şiddetli bir şekilde çıkıyorsa, bir doktora veya diş hekimine danışmanı öneririm. Sağlıklı günler dilerim!